全国服务咨询热线:

13761418683

Products产品中心
首页 > 产品中心 > 抗体 > 二抗 > abs149061Rabbit anti-CD63 Polyclonal Antibody

Rabbit anti-CD63 Polyclonal Antibody

简要描述:Rabbit anti-CD63 Polyclonal Antibody KLH-conjugated synthetic peptide encompassing a sequence within the center region of human CD63. The exact sequence is proprietary.

  • 产品型号:abs149061
  • 厂商性质:生产厂家
  • 更新时间:2025-11-10
  • 访  问  量:1571

详细介绍

品牌absin分子量25 kDa
货号abs149061规格50uL
供货周期现货主要用途WB: 1:500-1:1000, IHC: 1:50-1:200
应用领域化工,生物产业,农林牧渔,制药/生物制药,综合

Rabbit anti-CD63 Polyclonal Antibody

概述
描述
Rabbit polyclonal antibody to CD63.
别名
CD63抗体;MLA1; TSPAN30; CD63 antigen; Granulophysin; Lysosomal-associated membrane protein 3; LAMP-3; Melanoma-associated antigen ME491; OMA81H; Ocular melanoma-associated antigen; Tetraspanin-30; Tspan-30; CD63,CD63
宿主
Rabbit
特异性
Recognizes endogenous levels of CD63 protein.
反应种属
Human, Rat
应用
WB: 1:500-1:1000, IHC: 1:50-1:200
分子量
Detects a band of approximately 53 kDa(Predicted molecular weight:25 kDa)
免疫原
KLH-conjugated synthetic peptide encompassing a sequence within the center region of human CD63. The exact sequence is proprietary.
性能
形式
Liquid
纯化方法
The antibody was purified by immunogen affinity chromatography.
类型
Polyclonal Antibody
储存/保存方法
Shipped at 4°C. Upon delivery aliquot and store at -20°C for one year. Avoid freeze/thaw cycles.
存储溶液
Liquid in 0.42% Potassium phosphate, 0.87% Sodium chloride, pH 7.3, 30% glycerol, and 0.01% sodium azide.
标记
Unlabeled
修饰
Unmodified
靶标
UniProt
P08962
研究领域
研究领域
CancerInvasion/microenvironmentECMCell adhesionOther
CancerTumor biomarkersTumor antigens
CardiovascularBloodPlatelets
ImmunologyCell Type MarkersCDPlatelets
Tags & Cell MarkersCell Type MarkersTumor Associated
实验结果图
Western blot analysis of CD63 expression in rat liver (A) whole cell lysates.
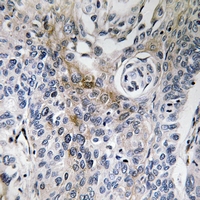
Immunohistochemical analysis of CD63 staining in human lung cancer formalin fixed paraffin embedded tissue section. The section was pre-treated using heat mediated antigen retrieval with sodium citrate buffer (pH 6.0). The section was then incubated with the antibody at room temperature and detected using an HRP conjugated compact polymer system. DAB was used as the chromogen. The section was then counterstained with haematoxylin and mounted with DPX.
Rabbit anti-CD63 Polyclonal Antibody温馨提示:本产品仅作科研实验使用,不支持临床等研究


产品咨询

留言框

  • 产品:

  • 您的单位:

  • 您的姓名:

  • 联系电话:

  • 常用邮箱:

  • 省份:

  • 详细地址:

  • 补充说明:

  • 验证码:

    请输入计算结果(填写阿拉伯数字),如:三加四=7
爱必信(上海)生物科技有限公司
地址:上海市浦东新区新浩路58号申江科创园18栋
邮箱:zhouzz@univ-bio.com
传真:
关注我们
欢迎您关注我们的微信公众号了解更多信息:
欢迎您关注我们的微信公众号
了解更多信息