文献标题:PROS1‐MERTK Axis Drives Tumor Microenvironment Crosstalk and Progression in Papillary Thyroid Microcarcinoma
发表期刊:Advanced Science(IF 14.1)
DOI:10.1002/advs.202413474
核心试剂:六色多重荧光免疫组化染色试剂盒(鼠兔通用二抗)(abs50014)


甲状腺乳头状癌(PTC)发病率逐年上升,其中甲状腺微小乳头状癌(PTMC,直径≤1cm)占比超 50%。尽管多数 PTMC 生长缓慢、预后良好(10 年生存率 93.5%-97%),但仍有 0.4%-28.8% 的病例会出现快速进展(如肿瘤增大、淋巴结转移、甲状腺外侵犯),而临床缺乏精准识别进展风险的标志物与干预靶点。
此外,2013 年 “PTMC 过度诊断与过度治疗" 概念提出后,日本、美国等国推广 “主动监测(AS)" 替代手术,但如何区分 “惰性 PTMC" 与 “进展性 PTMC" 仍是临床难题 —— 这也正是本研究的核心目标:挖掘 PTMC 进展的关键分子机制与潜在标志物。
研究团队采用 “多维度测序 + 多水平验证" 的逻辑链,层层递进揭示 PTMC 进展机制,具体思路如下:
选取 19 例手术标本(来自 15 例患者),涵盖 4 类关键组别:
正常甲状腺组织(4 例)
非进展 PTMC(4 例,经 5 年 AS 无进展)
进展 PTMC(5 例,出现肿瘤增大 / 转移)
进展性 PTC(6 例,晚期病例)
单细胞层面:通过 scRNA-seq 对 146,529 个细胞进行测序,划分 32 个细胞簇,明确甲状腺癌细胞、成纤维细胞、免疫细胞等 6 大类细胞的动态变化;
空间层面:结合 10x Visium 空间转录组,定位不同细胞群在组织中的分布,解析进展期肿瘤的异质性;
通讯层面:用 CellChat 分析细胞间配体 - 受体互作,锁定 PROS1-MERTK 轴为关键通路;
蛋白验证层面:使用 Absin 多重 IHC/IF 试剂盒(abs50014)检测靶蛋白表达与共定位,验证通路的细胞来源;
功能验证层面:通过细胞迁移 / 侵袭实验、小鼠皮下移植瘤模型,证实 PROS1-MERTK 轴的促进展作用;
机制深挖层面:用 SCENIC 分析、双荧光素酶报告实验,找到调控 PROS1 的转录因子(NFYB/FOXP2)及下游通路(WNT/TGF-β)。
研究团队通过系统分析,得出 4 项核心结论,每一项均有扎实的数据支撑:
scRNA-seq 结果:
随疾病进展(正常→I 期→II 期→III 期),T/NK 细胞比例逐渐下降(免疫抑制增强);
成纤维细胞比例显著上升(从正常组织的约 5% 升至 III 期的 18%),成为微环境的核心 “信号发送者"。
通过 CellChat 分析细胞间配体 - 受体互作,发现:
PROS1(配体)主要由进展期的 “脂肪形成型癌相关成纤维细胞(adi-CAFs)" 分泌;
MERTK(受体)主要表达于进展期肿瘤细胞和髓系细胞(如肿瘤相关巨噬细胞);
两者的互作强度随进展显著增强(正常<I 期<II 期≤III 期),且通过旁分泌(CAFs→肿瘤细胞)和自分泌(肿瘤细胞自分泌 PROS1)两种方式促进展。
通过 SCENIC 转录因子分析与双荧光素酶实验:
成纤维细胞中,NFYB 和 FOXP2 可直接结合 PROS1 启动子,激活其转录;
敲低 NFYB/FOXP2 后,PROS1 的 mRNA 和蛋白表达下降超 60%,肿瘤细胞的迁移能力显著减弱。
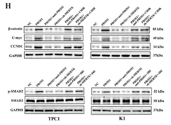
Western blot 与 GSEA 分析证实:
![]() | ![]() |
PROS1 结合 MERTK 后,激活下游 WNT/β-catenin 和 TGF-β/SMAD2 通路,促进肿瘤细胞增殖、侵袭;
TCGA 数据库验证:MERTK 在进展期 PTMC/PTC 中高表达,且高表达者预后更差(无病生存期缩短 35%),提示 MERTK 可作为 PTMC 进展的潜在标志物与治疗靶点。
在整个研究中,“PROS1 的细胞来源" 和 “PROS1-MERTK 的组织定位" 是关键科学问题,而 Absin Multiplex IHC / 免疫荧光试剂盒(货号:abs50014)正是解决这一问题的核心工具。
| 产品名称 | 货号 | 核心优势 | 文中应用场景 |
|---|---|---|---|
| 六色多重荧光免疫组化染色试剂盒(鼠兔通用二抗) | abs50014 | 1. 多靶标兼容(可同时检测 3-4 个蛋白); 2. 信号特异性高,背景低; 3. 适配激光共聚焦显微镜成像 | 组织切片中 PROS1、ACTA2、MERTK 等蛋白的表达与共定位检测 |
研究团队使用 abs50014 试剂盒,对不同阶段的组织切片进行多重免疫荧光染色,获得了关键证据:
染色靶标:ACTA2(成纤维细胞标志物,红色)、PROS1(绿色)、DAPI(细胞核,蓝色);
结果:在正常组织和非进展 PTMC 中,ACTA2 + 成纤维细胞与 PROS1 几乎无共定位;而在进展期 PTMC(II 期)和 PTC(III 期)中,80% 以上的 ACTA2 + 成纤维细胞同时表达 PROS1(红绿信号重叠率>75%),直接证实 adi-CAFs 是 PROS1 的主要分泌细胞。
此外,该试剂盒还用于验证 PROS1 和 MERTK 的组织表达差异:在进展期组织的肿瘤区域,PROS1 和 MERTK 的荧光信号强度较正常组织提升 3-5 倍,进一步佐证了该轴的激活与疾病进展的关联性。

本研究不仅揭示了 PROS1-MERTK 轴在 PTMC 进展中的核心作用,为临床提供了 “MERTK" 这一潜在标志物与治疗靶点,更展示了 “单细胞 + 空间转录组 + 多重荧光验证" 的研究范式在癌症微环境领域的强大价值。
而 Absin 的 Multiplex IHC/IF 试剂盒(abs50014)作为关键验证工具,凭借其高特异性、多通道兼容的优势,为 “蛋白 - 细胞 - 组织" 的跨尺度机制解析提供了可靠支持。未来,Absin 将持续推出更优质的科研工具,助力更多癌症微环境、精准医学领域的研究突破,为临床转化提供坚实的技术保障。
(注:原文图 5B 截图及产品应用细节可参考《Advanced Science》2025 年 12 卷 e13474 原文,或联系 Absin 技术团队获取完整应用方案)
| 货号 | 商品名 | 规格 |
| abs50086 | 双色多重荧光免疫组化染色试剂盒(抗兔二抗) | 100T |
| abs50087 | 双色多重荧光免疫组化染色试剂盒(鼠兔通用二抗) | 100T |
| abs50088 | 三色多重荧光免疫组化染色试剂盒(抗兔二抗) | 100T |
| abs50089 | 三色多重荧光免疫组化染色试剂盒(鼠兔通用二抗) | 100T |
| abs50103 | 三色多重荧光免疫组化染色试剂盒B(抗兔二抗) | 100T |
| abs50104 | 三色多重荧光免疫组化染色试剂盒B(鼠兔通用二抗) | 100T |
| abs50012 | 四色多重荧光免疫组化染色试剂盒(鼠兔通用二抗) | 20T/50T/100T |
| abs50028 | 四色多重荧光免疫组化染色试剂盒(抗兔二抗) | 20T/50T/100T |
| abs50167 | 四色多重荧光免疫组化染色试剂盒B(鼠兔通用二抗) | 20T/50T/100T |
| abs50168 | 四色多重荧光免疫组化染色试剂盒B(抗兔二抗) | 20T/50T/100T |
| abs50013 | 五色多重荧光免疫组化染色试剂盒(鼠兔通用二抗) | 20T/50T/100T |
| abs50029 | 五色多重荧光免疫组化染色试剂盒(抗兔二抗) | 20T/50T/100T |
| abs50014 | 六色多重荧光免疫组化染色试剂盒(鼠兔通用二抗) | 20T/50T/100T |
| abs50030 | 六色多重荧光免疫组化染色试剂盒(抗兔二抗) | 20T/50T/100T |
| abs50048 | 六色多重荧光免疫组化染色试剂盒(plus)(抗兔二抗) | 20T/50T/100T |
| abs50049 | 六色多重荧光免疫组化染色试剂盒(plus)(鼠兔通用二抗) | 20T/50T/100T |
| abs50015 | 七色多重荧光免疫组化染色试剂盒(鼠兔通用二抗) | 20T/50T/100T |
| abs50031 | 七色多重荧光免疫组化染色试剂盒(抗兔二抗) | 20T/50T/100T |
| abs50037 | 七色多重荧光免疫组化染色试剂盒(plus)(鼠兔通用二抗) | 20T/50T/100T |
| abs50038 | 七色多重荧光免疫组化染色试剂盒(plus)(抗兔二抗) | 20T/50T/100T |
| abs50165 | 七色多重荧光免疫组化染色试剂盒(770染料增强版)(抗兔二抗) | 20T/50T/100T |
| abs50166 | 七色多重荧光免疫组化染色试剂盒(770染料增强版)(抗鼠兔通用二抗) | 20T/50T/100T |
| abs50018 | 十色多重荧光免疫组化染色试剂盒 | 100T |
| abs50083 | 肺癌肿瘤微环境多重荧光免疫组化检测试剂盒(I) | 20T |
| abs50084 | 肺癌肿瘤微环境多重荧光免疫组化检测试剂盒(II) | 20T |
多色方案获取
“爱必信生物"公众号后台回复关键字“Absin多色方案",即可获取多色实验方案~
好消息!Absin文献奖励重磅升级!
爆款产品:试剂盒(mIHC、IHC、凋亡、ELISA、ChIP、Co-IP、TR-FRET、生化检测、残留检测、多因子检测);细胞培养(类器官试剂盒+基质胶,胎牛血清+培养添加剂+细胞因子)、分化试剂盒;分子(mRNA合成服务+提取试剂盒);化合物大包装;辅助试剂、耗材/仪器、定制服务(抗体/多肽/蛋白/标记/检测)... 特色产品:鸡胚提取物CEE、B27、N2、霍乱毒素B亚单位CTB、牛脑垂体提取物BPE、百日咳毒素PTX、重组人胰岛素Insulin、人源低密度脂蛋白LDL...
|